Haüyna (Haüyne)

NOMBRE: HAÜYNA

FÓRMULA: Na3Ca(Si3Al3)O12(SO4)

SISTEMA: Cúbico

GRUPO: Tectosilicatos/feldespatoides


FORMA: Puede aparecer como cristales automorfos con seis caras, debido a su hábito dodecaétrico

COLOR: Comúnmente azul, puede ser incolora o azul verdoso

PLEOCROÍSMO: 

MACLAS: Según {111}, pero no se aprecia debido a su isotropía

EXFOLIACIÓN: Débil según {011}

ÍNDICES DE REFRACCIÓN

    n: 1,494 - 1,509

     

RELIEVE: Medio - 

BIRREFRINGENCIA: 0   (ISÓTROPO)

COLOR DE INTERFERENCIA: 

ORIENTACIÓN: 

ELONGACIÓN: 

ÁNGULO DE EXTINCIÓN: 

SIGNO ÓPTICO: Isótropo


OTROS DATOS: Puede contener Cl en las posiciones del SO4 y S en las del O

ASOCIACIÓN: Relativamente rara, en rocas deficitarias en sílice, restringida a rocas volcánicas

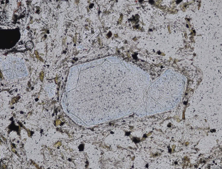
Haüyna automorfa en una roca volcánica (plagioclasa, augita, kaersutita, titanita, minerales opacos).

Lado mayor de la imagen = 1 mm.

Misma zona, con polarizadores cruzados.

Haüyna automorfa en una roca volcánica (plagioclasa, augita, kaersutita, titanita, minerales opacos).

Lado mayor de la imagen = 1 mm.

Con polarizadores cruzados se puede apreciar su carácter isótropo.